A Woman's Breast Implants Saved Her Life From a Gunshot, Doctors Say

Here's a reason to get breast implants that probably should not sway your decision to do so, as the odds of them ever saving your life are rather small. But one woman's implants deflected a bullet away from her heart!

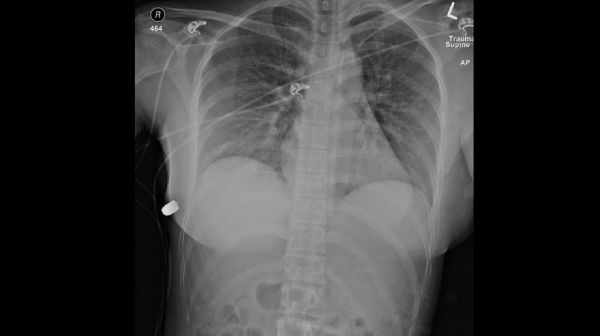
According to the report, the 30-year-old woman had been walking down a street in Toronto in 2018 when all of a sudden she felt “heat and pain in her left chest.” Upon looking down, she saw blood seeping out of her body and took herself to a local emergency room. She had an obvious gunshot wound located above her left nipple and was transferred to another trauma center.

Further examination revealed that the bullet had ended up in the woman’s lower right chest wall, underneath her breast. But she was otherwise remarkably fine. Doctors removed both of her silicone breast implants and saw that the bullet had clearly traveled through the left-side implant, which deflected it over to the right implant with enough force that it flipped the right implant upside down. The bullet then traveled through breast tissue before finally becoming embedded in her right chest.

Yeah, it's kind of complicated, but it's not the first time breast implants have stopped a bullet. Read more details of this story at Gizmodo.

(Image credit: McEvenue, et al/Plastic Surgery Case Studies)


Login to comment.
Email This Post to a Friend
"A Woman's Breast Implants Saved Her Life From a Gunshot, Doctors Say"

Separate multiple emails with a comma. Limit 5.

 

Success! Your email has been sent!

close window
X

This website uses cookies.

This website uses cookies to improve user experience. By using this website you consent to all cookies in accordance with our Privacy Policy.

I agree
 
Learn More